أورام الغدة النخامية - اكتشف معنا أعراضها، كيفية تشخيصها وعلاجها


تمت المراجعة والموافقة من قبلتمت المراجعة والموافقة عليها من قبل طبيب Diego Pereira
أورام الغدة النخامية من الأورام الحميدة بطيئة النمو، وهي تصيب الخلايا التي تكوّن الغدة النخامية، والتي تنظم عمل الغدد الأخرى الموجودة في الجسم.
تصيب أورام الغدة النخامية الرجال والنساء على حد سواء وبأعداد متساوية تقريبًا. ولكنها أكثر شيوعًا بين سن 30 و40 عامًا.
بشكل عام، تكون هذه الأورام حميدة، فالأورام النخامية الخبيثة نادرة. وحتى الآن، لا نعرف مسببات ظهور هذه الأورام بشكل دقيق. مع ذلك، فإنها ترتبط في بعض الحالات بمرض وراثي يُعرف باسم تكون الأورام الصماوية المتعددة.
أعراض أورام الغدة النخامية

العرض الرئيسي الناتج عن هذه الأنواع من الأورام هو التغير في إفراز الهرمونات. وحسب الحالة، قد تؤدي الأورام إلى إفراز الغدة نسبة عالية من هرمون واحد أو أكثر.
وبسبب هذا التغيير الطارئ على نظام الغدد الصماء، يمكن للأعراض أن تكون كالتالي:
- فرط نشاط الغدة الدرقية: تنتج الغدة الدرقية في هذه الحالة كميات مفرطة من الهرمونات.
- فرط نشاط قشر الكظر: في هذه الحالة، يزيد مستوى هرمون الكورتيزول بشكل مفرط.
- ضخامة النهايات.
- إفراز اللبن في حالة الذكور والإناث.
- عدم انتظام دورات الطمث بالنسبة للنساء بسبب تغير الهرمونات الجنسية.
على الجانب الآخر، تظهر بعض الأعراض المحددة إذا ضغط ورم نخامي كبير على أجزاء المخ المختلفة، ومنها الآتي:
- اضطرابات الرؤية كالرؤية المزدوجة، فقدان الساحة البصرية، تدلي الجفون أو تغيرات في رؤية الألوان
- الصداع
- الإجهاد والنعاس
- إفرازات أنفية شفافة اللون
- الغثيان والقيء
- اضطرابات تتعلق بحاسة الشم
هذه الأعراض قد تظهر بالتزامن وشكل مفاجئ، وقد تؤدي إلى احتشاء الغدة النخامية. فإذا لاحظت ظهور أي منها، يجب عليك التوجه إلى طبيب متخصص فورًا.
ننصحك بقراءة:
أنواع الأورام النخامية
يمكننا تصنيف هذه الأورام حسب حجمها بالشكل التالي:
- الأورام الصغيرة: التي لا يتعدى حجمها 3/8 بوصة.
- الأورام الكبيرة: التي يتعدى حجمها 3/8 يوصة. وهذه الأورام تؤدي إلى اضطرابات أكثر حدة في واحد أو أكثر من الهرمونات النخامية.
يمكن أيضًا تصنيف الأورام حسب إفرازها للهرمونات من عدمه. إذا أفرزت هرمونات، تعتبر فعالة. إذا لم تفرز هرمونات، تكون غير فعالة.
اقرأ أيضًا:
7 إشارات يرسلها جسدك لينبهك إلى وجود مشكلات تتعلق بالغدة الدرقية
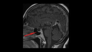
التشخيص

يجب على الطبيب إجراء فحص لتحليل وجود أي مشكلات تتعلق بالرؤية المزدوجة أو الساحة البصرية، الرؤية الجانبية أو الطرفية.
بعد ذلك، يتم فحص وظائف الغدد الصماء لمحاولة اكتشاف وجود زيادة في نسبة الهرمونات أو أي اضطرابات أخرى.
وأكثر الفحوصات التي تساعد على تأكيد التشخيص هي الأشعة المقطعية والتصوير بالرنين المغناطيسي.
اكتشف:
اختلالات الغدة الدرقية – 5 علاجات تستطيع القيام بها في المنزل
علاج أورام الغدة النخامية
- العلاجات الدوائية والعلاج بالهرمونات البديلة: الأدوية التي تعيق إفراز الهرمونات تستطيع السيطرة على الأعراض وحتى تقليل حجم الأورام.
- تقنيات العلاج الإشعاعي: تُستخدم عادةً لتقليل حجم الأورام.
- الجراحة: يتم فيها إزالة الأورام من خلال التجويف الأنفي. ولكن في بعض الأحيان، قد يحتاج الأطباء إلى فتح الجمجمة.
العمى هو أخطر المضاعفات لهذه الحالة إذا أصيب العصب البصري بتلف شديد. يمكن أيضًا للورم أو لعملية استئصاله أن يؤديان إلى اختلالات هرمونية دائمة، وهو ما قد يتسبب في الإصابة بمرض السكري الكاذب. أعراض هذا النوع من السكري تشمل التبول المتكرر والعطش الشديد المستمر.
في جميع الأحوال، إذا لاحظت ظهور أي من الأعراض المذكورة، يجب التوجه إلى طبيب متخصص في أسرع وقت ممكن لبدء العلاج فورًا.
أورام الغدة النخامية من الأورام الحميدة بطيئة النمو، وهي تصيب الخلايا التي تكوّن الغدة النخامية، والتي تنظم عمل الغدد الأخرى الموجودة في الجسم.
تصيب أورام الغدة النخامية الرجال والنساء على حد سواء وبأعداد متساوية تقريبًا. ولكنها أكثر شيوعًا بين سن 30 و40 عامًا.
بشكل عام، تكون هذه الأورام حميدة، فالأورام النخامية الخبيثة نادرة. وحتى الآن، لا نعرف مسببات ظهور هذه الأورام بشكل دقيق. مع ذلك، فإنها ترتبط في بعض الحالات بمرض وراثي يُعرف باسم تكون الأورام الصماوية المتعددة.
أعراض أورام الغدة النخامية

العرض الرئيسي الناتج عن هذه الأنواع من الأورام هو التغير في إفراز الهرمونات. وحسب الحالة، قد تؤدي الأورام إلى إفراز الغدة نسبة عالية من هرمون واحد أو أكثر.
وبسبب هذا التغيير الطارئ على نظام الغدد الصماء، يمكن للأعراض أن تكون كالتالي:
- فرط نشاط الغدة الدرقية: تنتج الغدة الدرقية في هذه الحالة كميات مفرطة من الهرمونات.
- فرط نشاط قشر الكظر: في هذه الحالة، يزيد مستوى هرمون الكورتيزول بشكل مفرط.
- ضخامة النهايات.
- إفراز اللبن في حالة الذكور والإناث.
- عدم انتظام دورات الطمث بالنسبة للنساء بسبب تغير الهرمونات الجنسية.
على الجانب الآخر، تظهر بعض الأعراض المحددة إذا ضغط ورم نخامي كبير على أجزاء المخ المختلفة، ومنها الآتي:
- اضطرابات الرؤية كالرؤية المزدوجة، فقدان الساحة البصرية، تدلي الجفون أو تغيرات في رؤية الألوان
- الصداع
- الإجهاد والنعاس
- إفرازات أنفية شفافة اللون
- الغثيان والقيء
- اضطرابات تتعلق بحاسة الشم
هذه الأعراض قد تظهر بالتزامن وشكل مفاجئ، وقد تؤدي إلى احتشاء الغدة النخامية. فإذا لاحظت ظهور أي منها، يجب عليك التوجه إلى طبيب متخصص فورًا.
ننصحك بقراءة:
أنواع الأورام النخامية
يمكننا تصنيف هذه الأورام حسب حجمها بالشكل التالي:
- الأورام الصغيرة: التي لا يتعدى حجمها 3/8 بوصة.
- الأورام الكبيرة: التي يتعدى حجمها 3/8 يوصة. وهذه الأورام تؤدي إلى اضطرابات أكثر حدة في واحد أو أكثر من الهرمونات النخامية.
يمكن أيضًا تصنيف الأورام حسب إفرازها للهرمونات من عدمه. إذا أفرزت هرمونات، تعتبر فعالة. إذا لم تفرز هرمونات، تكون غير فعالة.
اقرأ أيضًا:
7 إشارات يرسلها جسدك لينبهك إلى وجود مشكلات تتعلق بالغدة الدرقية
التشخيص

يجب على الطبيب إجراء فحص لتحليل وجود أي مشكلات تتعلق بالرؤية المزدوجة أو الساحة البصرية، الرؤية الجانبية أو الطرفية.
بعد ذلك، يتم فحص وظائف الغدد الصماء لمحاولة اكتشاف وجود زيادة في نسبة الهرمونات أو أي اضطرابات أخرى.
وأكثر الفحوصات التي تساعد على تأكيد التشخيص هي الأشعة المقطعية والتصوير بالرنين المغناطيسي.
اكتشف:
اختلالات الغدة الدرقية – 5 علاجات تستطيع القيام بها في المنزل
علاج أورام الغدة النخامية
- العلاجات الدوائية والعلاج بالهرمونات البديلة: الأدوية التي تعيق إفراز الهرمونات تستطيع السيطرة على الأعراض وحتى تقليل حجم الأورام.
- تقنيات العلاج الإشعاعي: تُستخدم عادةً لتقليل حجم الأورام.
- الجراحة: يتم فيها إزالة الأورام من خلال التجويف الأنفي. ولكن في بعض الأحيان، قد يحتاج الأطباء إلى فتح الجمجمة.
العمى هو أخطر المضاعفات لهذه الحالة إذا أصيب العصب البصري بتلف شديد. يمكن أيضًا للورم أو لعملية استئصاله أن يؤديان إلى اختلالات هرمونية دائمة، وهو ما قد يتسبب في الإصابة بمرض السكري الكاذب. أعراض هذا النوع من السكري تشمل التبول المتكرر والعطش الشديد المستمر.
في جميع الأحوال، إذا لاحظت ظهور أي من الأعراض المذكورة، يجب التوجه إلى طبيب متخصص في أسرع وقت ممكن لبدء العلاج فورًا.
"تمت مراجعة جميع المصادر المذكورة بعناية شديدة من قبل فريقنا لضمان جودتها وموثوقيتها وتحديثها وصحتها. تم اعتبار الببليوغرافيا لهذه المقالة موثوقة ودقيقة من الناحية الأكاديمية أو العلمية.
-
Jaime, M. de, López, F., & Cabrera, G. (2003). Patología de los adenomas hipofisarios. Patología.
-
Betanzos, R. R., Gerardo, E., Pérez, D., Apolonia, S., Montaño, A., Sánchez, V., … Mendoza, C. (2009). Artículo de revisión Acromegalia. Mcm.
-
CARNEIRO, C. C., MENDES, B. B., & BASTOS, L. G. (2015). ADENOMA HIPOFISÁRIO: CORRELAÇÃO CLÍNICA, LABORATORIAL E RADIOLÓGICA. REVISTA DA UNIVERSIDADE VALE DO RIO VERDE. https://doi.org/10.5892/ruvrd.v13i1.1979
هذا النص مقدم لأغراض إعلامية فقط ولا يحل محل استشارة مع محترف. في حال وجود شكوك، استشر اختصاصيك.







