الانصباب التاموري - ما هي الاختبارات التي تكشف الحالة؟

الانصباب التاموري حالة حيث تتراكم السوائل بين القلب والغشاء المصلي المحيط بالقلب المعروف باسم التامور. ويتم تشخيص الحالة عندما يتعدى مستوى السائل 50 مل. ولكن كيف يمكن اكتشاف حالة الانصباب التاموري؟
بين القلب والتامور، يوجد دائمًا طبقة رقيقة من السوائل. ولكن، في حالة المرض أو الإصابة، يظهر الالتهاب. وهو ما يزيد بدوره كمية السوائل. برغم ذلك، يمكن الإصابة بالانصباب التاموري دون التهاب مسبق.
يضغط الانصباب على القلب ويؤثر على عمله. وإذا لم يتم علاجه، يمكن أن يؤدي إلى فشل القلب والوفاة. واليوم، نرغب في استعراض الاختبارات المختلفة القادرة على اكتشاف الحالة.
اقرأ أيضًا:
وسائل لاكتشاف الانصباب التاموري
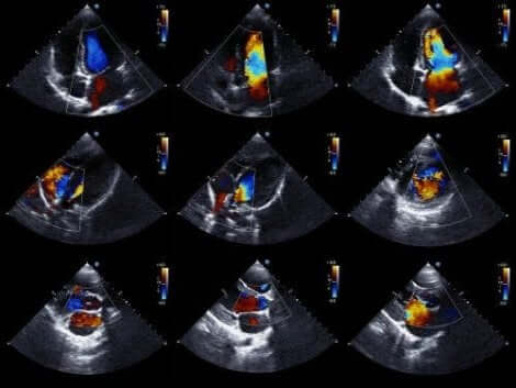
مخطط صدى القلب

تخطيط صدى القلب هو الاختبار المفضل لاكتشاف الانصباب. وهو يسمح للأطباء برؤية هيكل القلب ودراسة قدرته على ضخ الدم.
مخطط صدى قلب دوبلر نوع من هذا الاختبار يسمح للأطباء أيضًا بتحديد سرعة تدفق الدم من القلب بدقة. من الناحية الفنية، المخطط ثنائي الأبعاد والتصواتي هو التقنية المثالية لتشخيص، قياس ومراقبة الانصباب.
العثور على غياب للصدى بين التامور والنخاب يسمح للأطباء بتشخيص الحالة. بعد ذلك، يحدد طبيب القلب مستوى الانصباب وفقًا لحجم المساحة بين الطبقتين.
من الجدير بالذكر هنا أن هناك نوعان أساسيان من تخطيط صدى القلب. يوجد التخطيط الصدري، حيث يتم وضع الجهاز الذي يولد الصوت على الصدر فوق القلب. ويوجد التخطيط المريئي، حيث يتم إدخال الجهاز في السبيل الهضمي حتى المريء، وهذا الاختبار يوفر المزيد من البيانات.
ننصحك بقراءة:
رسم القلب
يسجل رسم القلب النشاط الكهربي للقلب. وهو يسمح للأطباء بتقييم وظائف القلب وإيقاعه. الانصباب التاموري يتسبب في تغيرات في الرسم، ولكنها تغيرات غير محددة.
بشكل عام، يستطيع الأطباء ملاحظة التشوهات في مركب QRS لرسم القلب. هذا المركب يعبر عن جميع التدفقات الكهربية التي تحدث داخل خلايا البطينين. بشكل عام، عندما يكون هناك انصباب، يستطيع الأطباء رؤية انخفاض في فولطية الـQRS.
أيضًا، في هذه الحالات، يستطيعون ملاحظة تسطح للموجات T. وإذا كان الانصباب شديدًا جدًا ويوجد انسداد، يمكن ملاحظة تغيرات كهربية، حيث تكون الموجة P عريضة وثنائية النسق، مما يشير إلى التشوه.
اكتشف:
أشعة الصدر السينية، الأشعة المقطعية والرنين المغناطيسي

أشعة الصدر السينية تسمح للأطباء برؤية جميع الأعضاء الموجودة في الصدر. والأشعة المقطعية هي اختبار يستعمل الأشعة السينية أيضًا ويسمح للأطباء بالحصول على صور في صورة مقاطع عرضية أو بشكل ثلاثي الأبعاد.
على الجانب الآخر، الرنين المغناطيسي اختبار يقدم صورًا مفصلة للجزء الداخلي للجسم، بشكل ثنائي أو ثلاثي الأبعاد. ولذلك فهو يوفر مزيدًا من المعلومات بالمقارنة بالأشعة السنينة والمقطعية.
عندما يكون هناك انصباب، يمكن ملاحظة تغير في شكل القلب، ويمكن اكتشاف ذلك عن طريق أي من تلك الاختبارات. عادةً، يتضخم الظل عندما يتراكم 250 مل من السوائل في الكيس التاموري.
قد يهمك:
تقييس الانصباب التاموري
لا يوجد معايير معترف بها بشكل شامل لتقييس نسبة الانصباب التاموري. وذلك لأن جميع الوسائل لها حدود فيما يتعلق بتحديد كمية السوائل الحقيقية الموجودة في الكيس التاموري.
أكثر التقنيات قبولًا للتقييس هي التقنية المقترحة عن طريق وايتزمان. تعتدم هذه التقنية على تخطيط صدى القلب. وهي تشمل جمع المساحات الخالية من الصدى في الأكياس الداخلية والخارجية في نهاية انبساطة القلب. يتم تصنيف الحالة بخفيفة إذا كانت الكمية 10 مم أو أقل، ومتوسطة إذا كانت الكمية بين 10 مم و19مم، وشديدة إذا كانت تصل إلى 20 مم أو تتعدى ذلك.
من المهم استبعاد وجود الأورام القلبية والكيسات التامورية قبل التشخيص. في نفس الوقت، يحتاج الأطباء إلى التأكد من عدم وجود انصباب جنبي أو دهون نخابية.
"تمت مراجعة جميع المصادر المذكورة بعناية شديدة من قبل فريقنا لضمان جودتها وموثوقيتها وتحديثها وصحتها. تم اعتبار الببليوغرافيا لهذه المقالة موثوقة ودقيقة من الناحية الأكاديمية أو العلمية.
- Martín-García, A. C., Peláez, E. D., Martín-García, A., & Sánchez, P. L. (2017). Derrame pericárdico. Taponamiento cardíaco. Medicine-Programa de Formación Médica Continuada Acreditado, 12(44), 2621-2628.
- Sociedad Española de Imagen Cardíaca. Complejo QRS. https://ecocardio.com/documentos/biblioteca-preguntas-basicas/preguntas-al-cardiologo/1046-complejo-qrs.html
- MedlinePlus. Ecocardiografía. https://medlineplus.gov/spanish/ency/article/003869.htm
- MedlinePlus. Trastornos del pericardio. https://medlineplus.gov/spanish/pericardialdisorders.html
- MedlinePlus. Electrocardiograma.https://medlineplus.gov/spanish/pruebas-de-laboratorio/electrocardiograma/
- National Heart, Lung and Blood Institute. Radiografía de tórax. https://www.nhlbi.nih.gov/health-topics/espanol/radiografia-de-torax
هذا النص مقدم لأغراض إعلامية فقط ولا يحل محل استشارة مع محترف. في حال وجود شكوك، استشر اختصاصيك.







