متلازمة الشريان التاجي الحادة (ِACS)

تظهر متلازمة الشريان التاجي الحادة (ACS) عندما يقل تدفق الدم إلى القلب بشكل كبير. وفي معظم الحالات، يحدث ذلك بسبب وجود لويحة عصيدية في الشرايين التاجية.
اللويحات العصيدية هي تراكمات غير طبيعية لمواد معينة في الأوعية الدموية. انفصال جزء من هذه التصلبات يؤدي إلى تشكيل جلطة. فيتسبب ذلك في إعاقة كاملة أو جزئية للشريان التاجي.
الشرايين التاجية هي الأوعية الدموية الأساسية التي تنقل الدم للقلب. وأي إعاقة تحدث لهذه الأوعية تخفض مستوى الدم المتدفق إلى القلب. وهو ما يؤدي إلى الإصابة بأمراض القلب الإقفارية.
بجانب ذلك، يمكن لبعض العوامل الأخرى أن تتسبب في ظهور متلازمة الشريان التاجي الحادة، منها:
- داء كاواساكي
- التهاب المفاصل الروماتويدي
- الصدمات
- الخثار التاجي
- حالات الخثورية المفرطة
- الجلطات
- التسلخ التلقائي للشريان التاجي
- حالات الشذوذ الخلقي
ننصحك بقراءة:
أعراض متلازمة الشريان التاجي الحادة (ACS) السريرية

العرض الرئيسي للحالة هو الألم الذي يظهر حول منطقة عظم القص والمعدة. ويمكن أيضًا لهذا الألم أن ينتشر ليصل إلى الكتفين، الرقبة، وحتى الفك.
يتسم الألم بالظهور المفاجئ وبالاحتداد مع مرور الوقت. ويصل عادةً إلى أقصى حدة بين دقيقتين إلى خمس دقائق من ظهوره. ولكن النوبات يمكن أن تكون متقطعة.
تشمل الأعراض الأخرى الغثيان، التقيء، ألم البطن، والدوار. بالإضافة إلى ذلك، يصاب بعض المرضى بارتفاع ضغط الدم، التعرق المفرط، عدم انتظام ضربات القلب والشحوب.
ولكن الحالة قد تظهر بشكل غير واضح الأعراض في صورة عسر هضم، إجهاد وفقدان للوعي وسط المرضى بين سن 25 و40، والمرضى من كبار السن الذين تتعدى أعمارهم 75 عامًا.
اقرأ أيضًا:
مشاكل القلب – 7 من الأعراض الشائعة التي تشير إلى إصابتك بمشكلات القلب
تشخيص متلازمة الشريان التاجي الحادة
يقوم الأطباء بتشخيص الحالة بعد تعرض المرضى لألم صدري والشك في إصابته بحالة إقفار. في هذه الحالات، يلجأ الطبيب إلى بعض الفحوصات الإضافية لتأكيد الحالة واكتشاف حدتها.
في القسم التالي، نلقي نظرة على هذه الفحوصات.
تخطيط القلب الكهربي

بشكل عام، يتم اللجوء إلى هذا الفحص في جميع المشكلات القلبية.
يتم من خلال هذا الاختبار تسجيل نشاط القلب الكهربي في كل نبضة. ثم يتم الاستعانة بتمثيل رسومي لإظهار حركة القلب.
في حالة الشك في الإصابة، يجب على الطبيب إخضاع المريض لتخطيط القلب الكهربي في خلال أول عشر دقائق من التقييم.
إذا كانت النتائج غير حاسمة، ولكن لا يزال هناك أدلة سريرية تشير إلى الإصابة، ينصح الخبراء بتكرار الفحص كل 15 إلى 30 دقيقة لإكمال التقييم.
اكتشف:
الإنزيمات القلبية
تسمح تحاليل الدم للأطباء بتقييم الإنزيمات القلبية التي تشير إلى وجود نخر في عضلة القلب. إذا كانت مستويات بعض العناصر عالية، يجب على الأخصائي الشك في احتشاء عضلة القلب.
ينصح الخبراء بتحليل هذه العناصر خلال أول 60 دقيقة. ولكن، عدم وجود هذه العلامات في التحليل الأولي لا يعني استبعاد احتمالية تلف عضلة القلب.
لذلك، يحتاج الأطباء إلى تكرار الفحص كل 6-12 ساعة من ظهور ألم الصدر.
قد يهمك:
تخطيط صدى القلب

أخيرًا، يسمح تخطيط صدى القلب بدراسة نشاط القلب بمزيد من التفصيل. هذا الاختبار من الاختبارات الطبية الشائعة جدًا، وذلك لأنه يوفر صورًا متحركة للقلب.
عن طريق ذلك، يمكن تقييم حالة أجزاء القلب المختلفة وتحركاتها لتأكيد أو استبعاد الاحتشاء. بالإضافة إلى أنه يمكن من خلال هذا الاختبار تقييم حجم وقوة القلب.
وبشكل عام، هو اختبار غير غزوي ولا يعرض المريض لأي خطر لأنه يستعمل الموجات فوق الصوتية للحصول على الصور.
سيقوم الطبيب باستبعاد الاحتشاء في حالة وجود اضطرابات في جدران القلب. وإذا تم اكتشاف اضطرابات، يجب تقييم نتائج الاختبار مع الأعراض، فوجودها لا يقتصر على هذه الحالة فقط.
أخيرًا، يمكن للأطباء الاستعانة باختبارات أخرى غير المذكورة، والتي تشمل اختبار الإجهاد القلبي، تصوير الأوعية القلبية، والتصوير المُشع.
تظهر متلازمة الشريان التاجي الحادة (ACS) عندما يقل تدفق الدم إلى القلب بشكل كبير. وفي معظم الحالات، يحدث ذلك بسبب وجود لويحة عصيدية في الشرايين التاجية.
اللويحات العصيدية هي تراكمات غير طبيعية لمواد معينة في الأوعية الدموية. انفصال جزء من هذه التصلبات يؤدي إلى تشكيل جلطة. فيتسبب ذلك في إعاقة كاملة أو جزئية للشريان التاجي.
الشرايين التاجية هي الأوعية الدموية الأساسية التي تنقل الدم للقلب. وأي إعاقة تحدث لهذه الأوعية تخفض مستوى الدم المتدفق إلى القلب. وهو ما يؤدي إلى الإصابة بأمراض القلب الإقفارية.
بجانب ذلك، يمكن لبعض العوامل الأخرى أن تتسبب في ظهور متلازمة الشريان التاجي الحادة، منها:
- داء كاواساكي
- التهاب المفاصل الروماتويدي
- الصدمات
- الخثار التاجي
- حالات الخثورية المفرطة
- الجلطات
- التسلخ التلقائي للشريان التاجي
- حالات الشذوذ الخلقي
ننصحك بقراءة:
أعراض متلازمة الشريان التاجي الحادة (ACS) السريرية

العرض الرئيسي للحالة هو الألم الذي يظهر حول منطقة عظم القص والمعدة. ويمكن أيضًا لهذا الألم أن ينتشر ليصل إلى الكتفين، الرقبة، وحتى الفك.
يتسم الألم بالظهور المفاجئ وبالاحتداد مع مرور الوقت. ويصل عادةً إلى أقصى حدة بين دقيقتين إلى خمس دقائق من ظهوره. ولكن النوبات يمكن أن تكون متقطعة.
تشمل الأعراض الأخرى الغثيان، التقيء، ألم البطن، والدوار. بالإضافة إلى ذلك، يصاب بعض المرضى بارتفاع ضغط الدم، التعرق المفرط، عدم انتظام ضربات القلب والشحوب.
ولكن الحالة قد تظهر بشكل غير واضح الأعراض في صورة عسر هضم، إجهاد وفقدان للوعي وسط المرضى بين سن 25 و40، والمرضى من كبار السن الذين تتعدى أعمارهم 75 عامًا.
اقرأ أيضًا:
مشاكل القلب – 7 من الأعراض الشائعة التي تشير إلى إصابتك بمشكلات القلب
تشخيص متلازمة الشريان التاجي الحادة
يقوم الأطباء بتشخيص الحالة بعد تعرض المرضى لألم صدري والشك في إصابته بحالة إقفار. في هذه الحالات، يلجأ الطبيب إلى بعض الفحوصات الإضافية لتأكيد الحالة واكتشاف حدتها.
في القسم التالي، نلقي نظرة على هذه الفحوصات.
تخطيط القلب الكهربي

بشكل عام، يتم اللجوء إلى هذا الفحص في جميع المشكلات القلبية.
يتم من خلال هذا الاختبار تسجيل نشاط القلب الكهربي في كل نبضة. ثم يتم الاستعانة بتمثيل رسومي لإظهار حركة القلب.
في حالة الشك في الإصابة، يجب على الطبيب إخضاع المريض لتخطيط القلب الكهربي في خلال أول عشر دقائق من التقييم.
إذا كانت النتائج غير حاسمة، ولكن لا يزال هناك أدلة سريرية تشير إلى الإصابة، ينصح الخبراء بتكرار الفحص كل 15 إلى 30 دقيقة لإكمال التقييم.
اكتشف:
الإنزيمات القلبية
تسمح تحاليل الدم للأطباء بتقييم الإنزيمات القلبية التي تشير إلى وجود نخر في عضلة القلب. إذا كانت مستويات بعض العناصر عالية، يجب على الأخصائي الشك في احتشاء عضلة القلب.
ينصح الخبراء بتحليل هذه العناصر خلال أول 60 دقيقة. ولكن، عدم وجود هذه العلامات في التحليل الأولي لا يعني استبعاد احتمالية تلف عضلة القلب.
لذلك، يحتاج الأطباء إلى تكرار الفحص كل 6-12 ساعة من ظهور ألم الصدر.
قد يهمك:
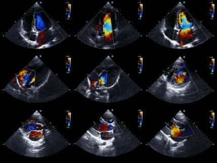
تخطيط صدى القلب

أخيرًا، يسمح تخطيط صدى القلب بدراسة نشاط القلب بمزيد من التفصيل. هذا الاختبار من الاختبارات الطبية الشائعة جدًا، وذلك لأنه يوفر صورًا متحركة للقلب.
عن طريق ذلك، يمكن تقييم حالة أجزاء القلب المختلفة وتحركاتها لتأكيد أو استبعاد الاحتشاء. بالإضافة إلى أنه يمكن من خلال هذا الاختبار تقييم حجم وقوة القلب.
وبشكل عام، هو اختبار غير غزوي ولا يعرض المريض لأي خطر لأنه يستعمل الموجات فوق الصوتية للحصول على الصور.
سيقوم الطبيب باستبعاد الاحتشاء في حالة وجود اضطرابات في جدران القلب. وإذا تم اكتشاف اضطرابات، يجب تقييم نتائج الاختبار مع الأعراض، فوجودها لا يقتصر على هذه الحالة فقط.
أخيرًا، يمكن للأطباء الاستعانة باختبارات أخرى غير المذكورة، والتي تشمل اختبار الإجهاد القلبي، تصوير الأوعية القلبية، والتصوير المُشع.
"تمت مراجعة جميع المصادر المذكورة بعناية شديدة من قبل فريقنا لضمان جودتها وموثوقيتها وتحديثها وصحتها. تم اعتبار الببليوغرافيا لهذه المقالة موثوقة ودقيقة من الناحية الأكاديمية أو العلمية.
- Cabrera S, Serrano I, Sans J, Bardají A. Protocolo diagnóstico del dolor torácico agudo. En: Urgencias. Unidades de dolor torácico. Medicine 2009;10(37)2511-4.
- Fauci, Braunwald, Kasper, Hauser, Longo, Jameson et al. Harrison, principios de Medicina Interna. Vol I-17a Edición. Mc Graw Hill Año 2009:87-91.
- Segura De La Cal, T., Carbonell San Román, S. A., & Zamorano Gómez, J. L. (2013). Síndrome coronario agudo. Medicine (Spain). https://doi.org/10.1016/S0304-5412(13)70608-5
- Sociedad Española de Cardiología. (2017). Proceso asistencial simplificado del síndrome coronario agudo. Sociedad Española de Cardiología. https://doi.org/http://dx.doi.org/10.2139/
- Lee Th, Goldman L. Evaluation Of The Patient With Acte Chest Pain. New England Journal Med 2000;342:1187-95
هذا النص مقدم لأغراض إعلامية فقط ولا يحل محل استشارة مع محترف. في حال وجود شكوك، استشر اختصاصيك.







