العقيدات الرئوية - مسبباتها وكيفية تشخيصها وعلاجها

السرطان قد يكون أول ما نفكر فيه عند سماع إصابة أحد ما بما يُعرف باسم العقيدات الرئوية . ولكن،في الواقع، هذه العقيدات تكون حميدة في معظم الحالات. برغم ذلك، في بعض حالات، ترتبط فعلًا العقيدات الرئوية بمرض السرطان.
العقيدات الرئوية هي كتل يتراوح طولها بين 5 و30 ميلليمتر. شيوع هذه الحالة آخذ في التزايد، والتقديرات الحالية تشير إلى أنها تصيب نحو 0.2% من عدد السكان الإجمالي. والخبر الجيد هو أن 60% من هذه العقيدات تعد حميدة.
من المهم تشخيص الحالة مبكرًا لتجنب المضاعفات واستبعاد وجود أمراض أخرى خطيرة. ولذلك، نرغب اليوم في شرح كل ما تحتاج إلى معرفته عن العقيدات الرئوية، مسبباتها، أعراضها وسبل علاجها.
ننصحك بقراءة:
مسببات العقيدات الرئوية

كما ذكرنا، العقيدات الرئوية هي كتل تظهر في الرئتين، ولظهورها مسببات مختلفة. ولكن، معظم الحالات ترجع إلى وجود عدوى، سواء كانت بكتيرية، فطرية أو طفيلية.
فيما يتعلق بالعدوى، تجدر الإشارة إلى أن العقيدات الرئوية شائعة بين المصابين بعدوى السل. نعم، مرض السل لا يزال موجودًا ولكن عدد المصابين به قليل.
حاليًا، أول ما يقوم به الأطباء هو استبعاد احتمالية أن تكون العقيدات مسرطنة. وذلك لأن سرطان الرئة يعد أحد المسببات الشائعة لهذه الحالة.
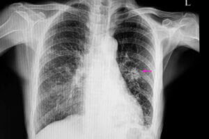
إذا كان السرطان هو المسبب، تتسم العقيدات بمظهر غير منتظم ذي حواف غير محددة بشكل واضح، وهو ما يمكن التأكد منه عن طريق الأشعة السينية. بالإضافة إلى ذلك، تميل العقيدات المسرطنة إلى أن تكون أصغر حجمًا من العقيدات الحميدة.
لظهور العقيدات الرئوية المسرطنة بعض عوامل الخطر، ومنها الآتي:
- التدخين
- إذا كان العمر أكبر من 35 عامًا
- وجود تاريخ مع مرض السرطان
- نمو العقيدات بشكل سريع في الشهور الأخيرة
من المهم أن نذكر هنا أنه ليست جميع العقيدات الورمية خبيثة، فبعضها يكون حميد، ولكن هذا النوع أقل شيوعًا.
اقرأ أيضًا:
مسببات أخرى
يوجد العديد من الأمراض الأخرى التي قد تؤدي إلى ظهور هذا الاضطراب الرئوي. على سبيل المثال، بعض الحالات المناعية الذاتية كالورام الحبيبي الويغنري أو العقيدات الروماتويدية، ولكن كلا هذين الحالتين نادر.
بجانب ذلك، يمكن للعقيدات الرئوية أن تظهر بسبب الصدمات في بعض الحالات. ويرجع ذلك على الأرجح إلى مرض أيضي يُعرف باسم الداء النشواني أو بعد ظهور كيسة الفلح الخيشومي.
اكتشف:
كيف يشخص الأطباء العقيدات الرئوية؟

أولًا، من الضروري أن يحصل الطبيب على تاريخ المريض الطبي الكامل حتى يتمكن من تشخيص العقيدات الرئوية وتحديد سبب ظهورها.
على سبيل المثال، يجب أن يعرف الطبيب ما إذا كان المريض قد أصيب من قبل بمرض السل، وما إذا كان تعرض لعدوى معينة أو اتصل بأشخاص مصابين بالعدوى.
من المهم أيضًا معرفة ما إذا كان المريض مدخنًا أم لا. فالعديد من الدراسات تكشف عن أن عدد كبير من العقيدات المسطرنة ترتبط بالتدخين.
بعد ذلك، يحتاج الطبيب إلى عمل بعض الأشعة لتحديد مكان العقيدات. بالإضافة إلى ذلك، ستساعده الصور على تحديد بعض الخصائص كالشكل والحجم.
التعرف على هذه الخصائص من الأمور المهمة لاكتشاف ما إذا كانت العقيدات حميدة أم مسرطنة.
أكثر الوسائل التشخيصية استخدامًا في هذه الحالات هي الأشعة السينية على الصدر والتصوير المقطعي المحوسب.
ولتحديد سبب ظهور العقيدات بدقة، يلجأ الأطباء إلى الخزعات في بعض الأحيان، فهي تمكنهم من تحليل الأنسجة.
قد يهمك:
ما هو أفضل علاج؟
العلاج الذي يجب اللجوء إليه سيعتمد على سبب ظهور العقيدات. مثلًا، قد يشمل المضادات الحيوية أو مضادات الفطريات إذا كان هناك عدوى.
إذا كان السبب غير واضح، سيركز العلاج على خطر إصابة المريض بالسرطان. على سبيل المثال، الشباب من غير المدخنين، حيث لا يظهر أن العقيدات خبيثة، يحتاجون إلى فحوصات دورية فقط للتتحقق مما إذا كان العقيدات تتغير أو تنمو.
إذا كان خطر السرطان موجودًا، من المهم أن يلجأ الطبيب إلى الخزعة. بعد التأكد من أن العقيدات مسرطنة، سيحدد ما إذا كانت الجراحة لإزالتها ملائمة. إذا لم تكن كذلك، قد يقترح العلاج الكيماوي أو الإشعاعي.
أخيرًا، يجب أن نبرز التأثير السلبي الخطير لاستهلاك التبغ على الرئتين. فإذا كنت من المدخنين، يجب أن تكون واعٍ بالمخاطر، ومن المهم أن تخضع للفحوصات الدورية للتأكد من عدم إصابتك بأي أمراض.
السرطان قد يكون أول ما نفكر فيه عند سماع إصابة أحد ما بما يُعرف باسم العقيدات الرئوية . ولكن،في الواقع، هذه العقيدات تكون حميدة في معظم الحالات. برغم ذلك، في بعض حالات، ترتبط فعلًا العقيدات الرئوية بمرض السرطان.
العقيدات الرئوية هي كتل يتراوح طولها بين 5 و30 ميلليمتر. شيوع هذه الحالة آخذ في التزايد، والتقديرات الحالية تشير إلى أنها تصيب نحو 0.2% من عدد السكان الإجمالي. والخبر الجيد هو أن 60% من هذه العقيدات تعد حميدة.
من المهم تشخيص الحالة مبكرًا لتجنب المضاعفات واستبعاد وجود أمراض أخرى خطيرة. ولذلك، نرغب اليوم في شرح كل ما تحتاج إلى معرفته عن العقيدات الرئوية، مسبباتها، أعراضها وسبل علاجها.
ننصحك بقراءة:
مسببات العقيدات الرئوية

كما ذكرنا، العقيدات الرئوية هي كتل تظهر في الرئتين، ولظهورها مسببات مختلفة. ولكن، معظم الحالات ترجع إلى وجود عدوى، سواء كانت بكتيرية، فطرية أو طفيلية.
فيما يتعلق بالعدوى، تجدر الإشارة إلى أن العقيدات الرئوية شائعة بين المصابين بعدوى السل. نعم، مرض السل لا يزال موجودًا ولكن عدد المصابين به قليل.
حاليًا، أول ما يقوم به الأطباء هو استبعاد احتمالية أن تكون العقيدات مسرطنة. وذلك لأن سرطان الرئة يعد أحد المسببات الشائعة لهذه الحالة.
إذا كان السرطان هو المسبب، تتسم العقيدات بمظهر غير منتظم ذي حواف غير محددة بشكل واضح، وهو ما يمكن التأكد منه عن طريق الأشعة السينية. بالإضافة إلى ذلك، تميل العقيدات المسرطنة إلى أن تكون أصغر حجمًا من العقيدات الحميدة.
لظهور العقيدات الرئوية المسرطنة بعض عوامل الخطر، ومنها الآتي:
- التدخين
- إذا كان العمر أكبر من 35 عامًا
- وجود تاريخ مع مرض السرطان
- نمو العقيدات بشكل سريع في الشهور الأخيرة
من المهم أن نذكر هنا أنه ليست جميع العقيدات الورمية خبيثة، فبعضها يكون حميد، ولكن هذا النوع أقل شيوعًا.
اقرأ أيضًا:
مسببات أخرى
يوجد العديد من الأمراض الأخرى التي قد تؤدي إلى ظهور هذا الاضطراب الرئوي. على سبيل المثال، بعض الحالات المناعية الذاتية كالورام الحبيبي الويغنري أو العقيدات الروماتويدية، ولكن كلا هذين الحالتين نادر.
بجانب ذلك، يمكن للعقيدات الرئوية أن تظهر بسبب الصدمات في بعض الحالات. ويرجع ذلك على الأرجح إلى مرض أيضي يُعرف باسم الداء النشواني أو بعد ظهور كيسة الفلح الخيشومي.
اكتشف:
كيف يشخص الأطباء العقيدات الرئوية؟

أولًا، من الضروري أن يحصل الطبيب على تاريخ المريض الطبي الكامل حتى يتمكن من تشخيص العقيدات الرئوية وتحديد سبب ظهورها.
على سبيل المثال، يجب أن يعرف الطبيب ما إذا كان المريض قد أصيب من قبل بمرض السل، وما إذا كان تعرض لعدوى معينة أو اتصل بأشخاص مصابين بالعدوى.
من المهم أيضًا معرفة ما إذا كان المريض مدخنًا أم لا. فالعديد من الدراسات تكشف عن أن عدد كبير من العقيدات المسطرنة ترتبط بالتدخين.
بعد ذلك، يحتاج الطبيب إلى عمل بعض الأشعة لتحديد مكان العقيدات. بالإضافة إلى ذلك، ستساعده الصور على تحديد بعض الخصائص كالشكل والحجم.
التعرف على هذه الخصائص من الأمور المهمة لاكتشاف ما إذا كانت العقيدات حميدة أم مسرطنة.
أكثر الوسائل التشخيصية استخدامًا في هذه الحالات هي الأشعة السينية على الصدر والتصوير المقطعي المحوسب.
ولتحديد سبب ظهور العقيدات بدقة، يلجأ الأطباء إلى الخزعات في بعض الأحيان، فهي تمكنهم من تحليل الأنسجة.
قد يهمك:
ما هو أفضل علاج؟
العلاج الذي يجب اللجوء إليه سيعتمد على سبب ظهور العقيدات. مثلًا، قد يشمل المضادات الحيوية أو مضادات الفطريات إذا كان هناك عدوى.
إذا كان السبب غير واضح، سيركز العلاج على خطر إصابة المريض بالسرطان. على سبيل المثال، الشباب من غير المدخنين، حيث لا يظهر أن العقيدات خبيثة، يحتاجون إلى فحوصات دورية فقط للتتحقق مما إذا كان العقيدات تتغير أو تنمو.
إذا كان خطر السرطان موجودًا، من المهم أن يلجأ الطبيب إلى الخزعة. بعد التأكد من أن العقيدات مسرطنة، سيحدد ما إذا كانت الجراحة لإزالتها ملائمة. إذا لم تكن كذلك، قد يقترح العلاج الكيماوي أو الإشعاعي.
أخيرًا، يجب أن نبرز التأثير السلبي الخطير لاستهلاك التبغ على الرئتين. فإذا كنت من المدخنين، يجب أن تكون واعٍ بالمخاطر، ومن المهم أن تخضع للفحوصات الدورية للتأكد من عدم إصابتك بأي أمراض.
"تمت مراجعة جميع المصادر المذكورة بعناية شديدة من قبل فريقنا لضمان جودتها وموثوقيتها وتحديثها وصحتها. تم اعتبار الببليوغرافيا لهذه المقالة موثوقة ودقيقة من الناحية الأكاديمية أو العلمية.
- Un nódulo pulmonar solitario | Medicina Integral. (n.d.). Retrieved December 24, 2019, from https://www.elsevier.es/es-revista-medicina-integral-63-articulo-un-nodulo-pulmonar-solitario-13046283
- Nódulos pulmonares: ¿Pueden ser cancerosos? Mayo Clinic. https://www.mayoclinic.org/es-es/diseases-conditions/lung-cancer/expert-answers/lung-nodules/faq-20058445#:~:text=Los%20n%C3%B3dulos%20pulmonares%20no%20cancerosos%20generalmente%20no%20requieren%20tratamiento.,o%20cambia%20con%20el%20tiempo.
- Prevención del cáncer de pulmón (PDQ®)–Versión para profesionales de salud. Instituto Nacional del Cáncer. https://www.cancer.gov/espanol/tipos/pulmon/pro/prevencion-pulmon-pdq
هذا النص مقدم لأغراض إعلامية فقط ولا يحل محل استشارة مع محترف. في حال وجود شكوك، استشر اختصاصيك.







